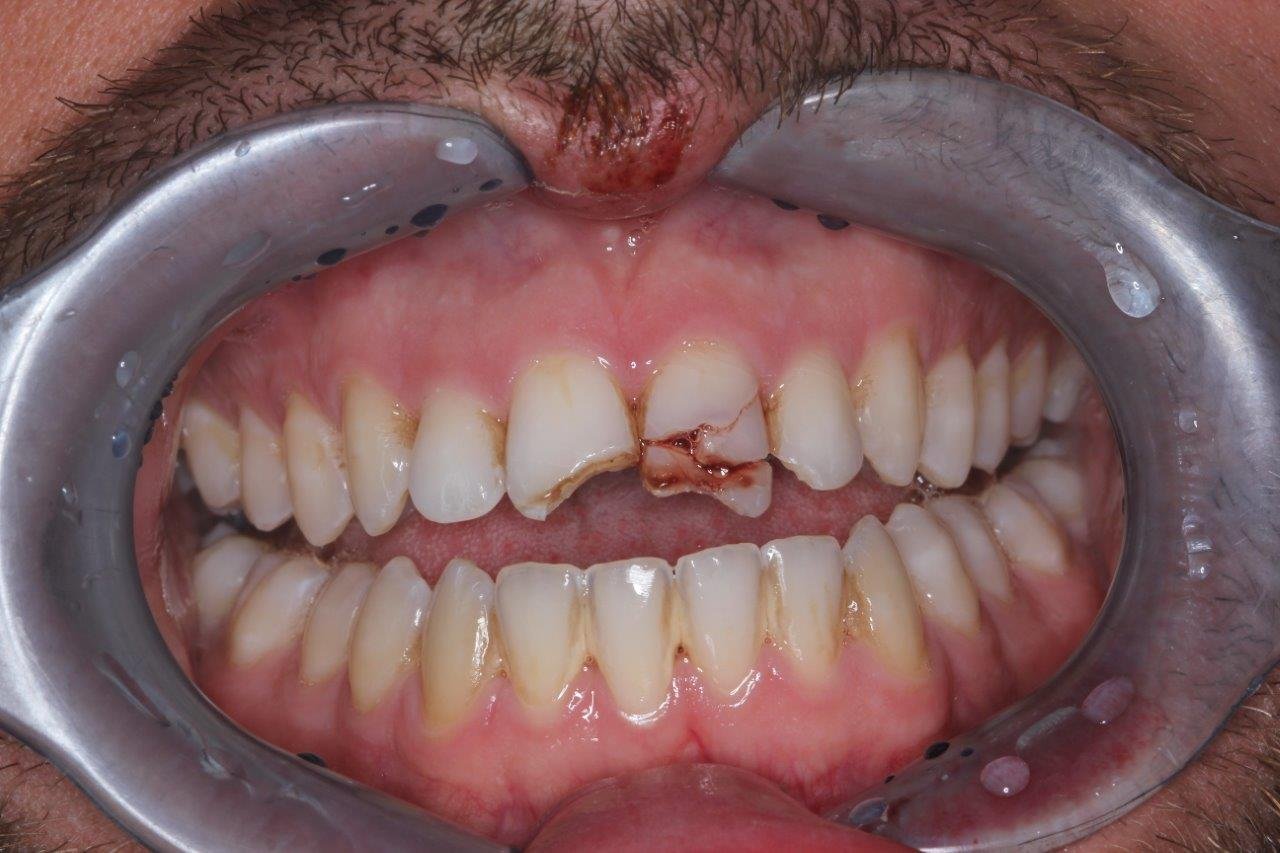
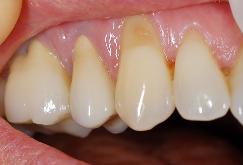
Referenzprojekte
Gürber Dentaltechnik GmbH
german |
english
Home
Über Gürber Dentaltechnik
Info für Zahnärzte
Info für Patienten
Referenzprojekte
Kontakt